Cabinet dentaire Stalingrad
Chirurgien Dentiste à Hyères Dr Jean-François HULOT Implants
Dentaires - Soins des gencives (Parodontologie)
Cabinet dentaire Stalingrad

14 Avenue du Docteur Jean-Jacques Perron
83400 HYERES

Chirurgien Dentiste à Hyères Dr Jean-François HULOT Implants
Dentaires - Soins des gencives (Parodontologie)

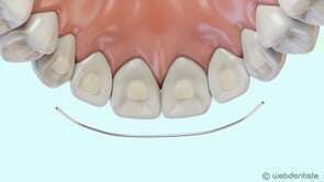
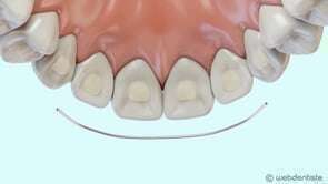
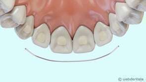
Fil de contention


video-play-icon

Articles similaires

Création par Webdentiste

Connexion