Blog - Page 8
Lorsqu’il y a manque de place ou excès d’espace dans la bouche, les dents risquent de se développer dans de mauvaises positions.
Pour les seniors, conserver une dentition saine est synonyme de bonne qualité de vie et de santé générale. Des dents bien soignées n’ont pas d’âge !
Un bridge est une prothèse fixe permettant de remplacer une ou plusieurs dents en s’appuyant sur les dents adjacentes.
Les premiers temps avec votre prothèse amovible : adoptez les bons réflexes pour faciliter la période d'adaptation.
Le rôle de l’assistant(e) dentaire peut prendre différentes formes, selon la structure du cabinet et le contenu du poste tel que prévu au départ
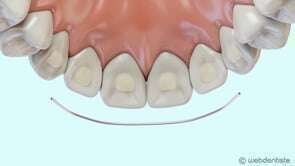
Invisalign® est un traitement orthodontique basé sur le port successif d’une série de gouttières transparentes.
Testez vos connaissances, et trouvez les réponses aux questions sur votre santé bucco-dentaire.
Le PRF (Protéine Riche en Fibrine) est un concentré de plaquettes sanguines et cellules immunitaires, accélérateur du temps de cicatrisation.
Un cabinet dentaire est très consommateur de ressources en énergie et en matériel. Or, le respect de l’environnement est devenu l’affaire de tous.
Que vous passiez vos vacances à la mer ou à la montagne, dans une région proche ou à l’étranger, des problèmes dentaires peuvent survenir.











